Skip to content Skip to footer

Caso Clínico: Rehabilitación Protésica de los Incisivos Superiores con Enfoque Estético

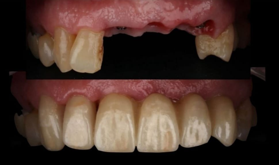
Este caso clínico muestra la rehabilitación estética de los incisivos superiores en un paciente con pérdida dental y daño estructural. Se realizó una planificación protésica que permitió restaurar la función y mejorar la armonía facial.

Mediante prótesis fijas de alta estética, se logró una integración natural con los tejidos y dientes vecinos. El resultado final ofrece una sonrisa renovada y una mejora significativa en la expresión y confianza del paciente.