Skip to content Skip to footer

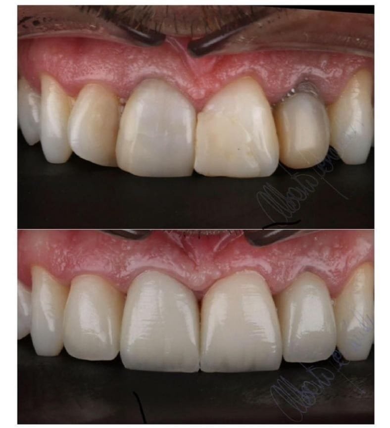
Caso Clínico: Rehabilitación Estética de Incisivos Superiores

En este caso realizamos la rehabilitación estética de los incisivos superiores, combinando precisión técnica y diseño estético para lograr una sonrisa natural y armónica. Analizamos cuidadosamente la forma, color y proporciones dentales del paciente, creando restauraciones personalizadas que se integran perfectamente con la dentición existente.

Utilizamos materiales de alta calidad que aportan resistencia y una apariencia muy cercana a los dientes naturales. Cada detalle, desde la textura hasta el contorno, fue trabajado para asegurar un resultado funcional y estéticamente impecable, devolviendo confianza al paciente y resaltando la excelencia de nuestro laboratorio dental.